L'orthodontie - Page 5
Une succion du pouce prolongée peut avoir des conséquences sur le développement de la mâchoire, des dents, et aussi sur l’élocution de l’enfant.
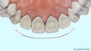
Grâce au développement de techniques discrètes et confortables, de plus en plus d’adultes ont recours à l’orthodontie.
Différents appareillages peuvent être utilisés pour déplacer les dents. Le choix technique dépend du mouvement dentaire à réaliser.
En orthodontie, la première consultation a pour but de faire connaissance avec le patient et de réaliser un bilan orthodontique.
La discrétion d’un appareil orthodontique est un élément majeur de décision qui est donc à prendre en compte, à tout âge.
Les patients sont parfois confrontés à différents problèmes : inconfort, gêne, difficulté d’adaptation... Comment y remédier ?
L’orthodontie consiste à déplacer les dents afin de retrouver un alignement dentaire harmonieux et d’améliorer les fonctions orales.
Un traitement orthodontique permet d’obtenir un sourire harmonieux. Mais avoir un beau sourire n’est qu’un des nombreux avantages de l’orthodontie.
Orthodontie enfants : pour un traitement court et efficace, il est important d’intervenir au bon moment, ni trop tôt, ni trop tard !











